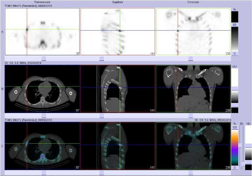
Sur ces coupes TEMP/TDM on observe :
- en haut, un petit foyer d'hyperfixation focalisé sur l'arc axillaire de la 5ème côte droite sur les coupes TEMP.
- au milieu, les coupes TDM semblent montrer une ostéocondensation focalisée de l'arc axillaire de la 5ème côte droite.
- en bas, la fusion des images plaide en faveur d'une ostéite aseptique de l'arc axillaire de la 5ème côte droite.

|
|